住友病院
高度医療機器
トップページ > 住友病院のご紹介 > 高度良質な医療のために > 高度医療機器

高度医療機器


手術支援ロボット da Vinci Xi(ダヴィンチXi)
血管造影検査
 ・全身用フラットパネルDSA装置 「Alura Xper FD20(Flexvision)」導入
 ・血管造影装置 「Allura FD10/10(Flexvision) 」 導入
骨密度測定検査(DXA)
 ・骨密度測定システム(DXA) 「iDXA」導入
放射線治療
 ・放射線治療機器 「CLINAC iX」導入
CT検査
 ・64列マルチスライスCT 「Optima CT660 Pro」導入
 ・Dual Source (2管球搭載型) CT 「SOMATOM Force」 導入
 ・大腸CT導入
核医学検査
 ・SPECT CT装置 「Precedence16 SPECT/CT」導入
X線TV検査
マンモグラフィ(乳房X線撮影)
MRI検査
一般撮影
結石破砕装置
大腿動脈(SFA)用 薬剤溶出型ステント


血管造影検査
従来、放射線診断に用いられていた血管造影はCTやMRIの発展にともない、現在では主として治療目的のために行われています。この手法はIVR(インターベンショナル・ラジオロジー)と呼ばれています。
当院の血管造影室には、全身用にAlluraXperFD20、心臓血管造影用にはAlluraXperFD10/10(いずれもフィリップス社製)が導入され、フルデジタル化により再現性の高いデータを迅速に参照できるようになり、より精度の高い検査と治療を行っています。


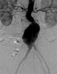
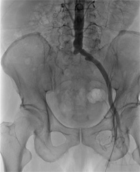
大動脈ステントグラフト
 
治療前   治療後

下肢動脈血管形成術
 
治療前   治療後

このページの先頭に戻る



フラットパネルDSA装置 「Alura Xper FD20(flexvision)」導入
2011年アンギオ装置が更新され、最新のフラットパネルDSAが導入されました。
この装置に大型複合モニターフレックスビジョンも組み合わされ、全身から末梢の小さな領域まで細かな情報を表示する事が可能です。また血管内超音波(IVUS)もDSA装置に組み込んであり、大動脈ステントグラフトから、四肢の血管病変まであらゆる領域で精度の高い治療が可能です。また、管球部分を回転またはスライドする事でCTのような横断画像を作る事も可能で、腫瘍に対する塞栓術を行なう際にも、正確な範囲を治療する事が可能となりました。

FD20

このページの先頭に戻る


血管造影装置装置 「Alura Xper FD10/10(flexvision)」導入
この装置により、X線の透視や撮影画像による心臓等の血管を観察しながら血管造影、血管内治療を行うことができます。
次の3つが特長です。
まず、フラットパネル検出器というフルデジタルのX線検出機構を採用しています。従来のアナログシステムより良好な画質が安定して得られ、また、効率良くX線を使用するため患者さんの被ばくも確実に減らせます。
次にバイプレーンと言って、同時に2方向からの透視・撮影が可能です。2方向から同時観察することで血管等をより立体的に詳しく見ることができます。また、1回の造影剤注入により2方向からの画像が得られる為、造影剤量を減少させ腎臓などへの負担も軽減されます。
Flexvisionと呼ばれる56インチ大画面LCDモニターにより血管等が非常に観察し易くなりました。また、血管内超音波や心電図などの治療工程で重要な患者さんに纏わる画像情報も簡単に切り替え表示でき、手技に沿って色々な情報を確認しながら血管内治療ができるようになりました。

以上のような特長により今まで以上に患者様の負担を減らしつつ、より高度な血管造影、血管内治療が可能となりました。

fd10
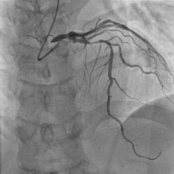
RCALCA


このページの先頭に戻る


骨密度測定検査(DXA)
最高峰の骨密度測定システム導入
骨密度測定システム『 iDXA 』について
2011年11月1日より新しくGE/Lunar社が誇る最上位機種『 iDXA 』 を導入しました。このiDXAは、検出器のチャンネル数を増やすことにより従来の装置に比べ画質、操作性、高精度、短時間測定、低被曝を一挙に実現した最高峰のX線骨密度測定システムです。 本装置はDXA (Dual energy X-ray Absorptiometry)法と呼ばれる「2種類のエネルギーX線吸収測定法」を用いて、骨と軟部組織の吸収率の差により骨密度を測定します。いずれの部位でも測定精度が高く、苦痛を伴うことなく迅速な測定が可能です。
また、他の機種と比較して高画質・高精度であり、多種多様なアプリケーションソフトを搭載しており様々なニーズに対応した骨密度測定が可能です。
iDXAでは、基準データをもとに、骨塩量(BMC)・骨密量(BMD)・非脂肪量・脂肪組織質量を正確に測定することが可能です。よって、骨密度測定だけでなく、体脂肪率や脂肪分布を含めた身体組成測定も可能であり、メタボリックシンドロームの予防やステロイド治療に関連した骨量減少を客観的に知ることが可能です。
全身の健康状態が一度の検査で総合的に評価することが出来ます。また、過去のデータと比較して経時的な変化を表示するソフトも装備しております。このiDXAは、超高齢化社会を反映した抗加齢医学やスポーツ健康医学、将来的な予防医学など様々な用途に幅広く応用されています。

idxa

骨粗鬆症とはどんな病気でしょう?
骨粗鬆症とは、年をとることや閉経を迎えたことに加えて、食事でのカルシウム摂取不足や運動不足などが原因となって骨のカルシウム量が減少し、骨がスポンジのように粗く脆くなり骨折しやすくなる病気です。骨粗鬆症になる因子は、内的因子と外的因子に分類されます。内的因子は、ホルモン分泌に関する因子、加齢による因子、人種・家族性などの遺伝的因子があります。また、外的因子としては、カルシウムやビタミンDの摂取不足による栄養因子、運動不足による代謝因子、ビタミンDの産生不足や喫煙などの生活習慣による因子があります。骨粗鬆症を防ぐため、まずは骨の状態を骨密度測定にて評価することが大事です。

骨粗鬆症は誰にでも起こりうる病気です
現在、日本には1,000万人以上の骨粗鬆症患者がいると推定されています。基本的には65歳以上の方は、骨粗鬆症の診断を受けた方が良く骨折リスクを判断するには骨密度測定がもっとも有効です。骨粗鬆症は特別な病気ではなく、高齢になれば誰にでも起こりえるものです。特に女性の場合、閉経後に骨密度が急に減少することが確認されています。エストロゲンというホルモンの減少が骨密度に影響を与えます。骨密度測定は、特に女性にとってとても重要な検査であると言えます。60歳代では2人に1人、70歳以上になると10人に7人が骨粗鬆症を起こすような状態になっています。
一方、男性では60歳過ぎから骨粗鬆症の割合が徐々に増えていきます。70歳以上では10人に4人が骨粗鬆症です。

日本骨粗鬆症学会 予防および治療に関してのガイドライン
現在、日本には1,000万人以上の骨粗鬆症患者がいると推定されています。基本的には65歳以上の方は、骨粗鬆症の診断を受けた方が良く骨折リスクを判断するには骨密度測定がもっとも有効です。骨粗鬆症は特別な病気ではなく、高齢になれば誰にでも起こりえるものです。特に女性の場合、閉経後に骨密度が急に減少することが確認されています。エストロゲンというホルモンの減少が骨密度に影響を与えます。骨密度測定は、特に女性にとってとても重要な検査であると言えます。60歳代では2人に1人、70歳以上になると10人に7人が骨粗鬆症を起こすような状態になっています。
一方、男性では60歳過ぎから骨粗鬆症の割合が徐々に増えていきます。70歳以上では10人に4人が骨粗鬆症です。

「骨粗鬆症の予防と治療ガイドライン2006年版」からの抜粋

検査の流れについて
金属やプラスチック、カルシウム成分を含んだ異物は測定精度の妨げとなるため、基本的に肌着や何もついていない服もしくは検査着に着替えていただきます。
検査台に仰向けに寝ていただきます。息を止めたりすることはありません。但し、固定具に脚や腕を固定し検査が終わるまで体を動かさないように注意してください。
測定可能な部位は、腰椎、大腿骨頚部、前腕骨、手、脊椎計測、全身体組成測定です。検査時間は測定部位によって異なりますが、おおよそ5分~15分程度です。ご要望があれば患者様用の結果をお渡しすることが出来ます。

検査の流れ

測定結果について
下図のような患者様用の測定結果をお渡しすることが出来ます。
測定した部位の骨密度のほかに、同年齢の平均との比較、若年成人との比較などが表示され、自分の骨レベルが数字で分かりやすくなっております。また、グラフで赤く囲まれた領域が骨粗しょう症と診断される領域で、黄色く表示されている領域が骨粗しょう症になる一歩手前の状態です。このグラフによっても、自分の骨レベルが分かりやすいようになっております。過去の測定結果も合わせて表示できるため、治療結果を経時的に観察する事が可能です。

骨密度測定結果


このページの先頭に戻る


放射線治療
放射線治療機器 「CLINAC iX」導入
CLINAC
CLINAC
CLINAC
がん治療において放射線治療は手術、抗がん剤治療などともに重要な役割を果たしています。その放射線は、多くの場合放射線発生装置から発生されます。放射線の発生方法には何種類かありますが、現在世界中でもっとも普及し、研究、開発にも力を注がれているのが「直線加速器(リニアック)」と呼ばれている放射線発生装置です。さらにそれを制御するコンピュータ技術の進歩に支えられ、近年の放射線治療は著しい発展を遂げています。
このたび住友病院では、最新、最高峰の直線加速器「CLINAC iX」 (米国Varian社製)を導入いたしました。これにより今日の最先端である様々な高精度放射線治療が可能となります。現在その運用に向けて準備を進めておりますが、高精度放射線治療が得意とする疾患に、最近増えている肺がんや前立腺がんがあります。
肺がんは正常な肺組織に囲まれているので、たくさんの放射線を照射すれば同時に周囲の正常肺組織にも相当の量があたってしまいます。そこで、高精度放射線治療のひとつである「体幹部定位放射線治療」を用います。この治療は3次元的に多数の方向から標的病変に対し正確に照準を合わせ、集中的に放射線をあてる治療です。小さい肺がんであれば周囲の正常肺組織にできるだけあたらない治療が可能となり、手術のできない患者様の選択肢になりえます。
一方,膀胱や直腸といった下腹部の重要臓器に囲まれ,複雑な形状の標的への照射を要する前立腺がんの場合には「強度変調放射線治療(IMRT)」と呼ばれる高精度放射線治療が有効です。緻密かつ綿密に照射装置を制御することで、放射線の強弱をつけて照射することが可能です。標的病変には充分に放射線をあてる一方で、複雑に入り組んで隣接する正常組織への照射線量を抑える、非常にメリハリの効いた線量の配分が実現できます。
最新の装置を用い、放射線治療を受ける患者様の負担をできるだけ軽減しつつ、最大限の効果をもたらすような治療を常に目指していきたいと考えております。




このページの先頭に戻る


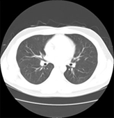
CT検査
CT(Computed Tomography:コンピュータ断層撮影)検査とは、体の周囲からX線を照射することによって断層(輪切り)像が得られる検査です。 CT検査の特徴として、通常のX線撮影などで検出されにくい小さな病変を見つけることができ、広範囲な撮影も可能です。造影剤を用いる事により血管の狭窄や閉塞、瘤の存在や形態を把握できます。また、タイミングを変えて(多時相)撮影することで、腫瘍の良悪性や広がりなどを詳しく調べる事ができます。薄いスライスの画像を重ね合わせて得られる3D(三次元立体)画像は、病変部と血管また骨などの位置関係を多方向から容易に把握できるので、診断や治療等へ活用されています。
当院のCT装置はSOMATOM Force (SIEMENS社製)及び 、Optima CT660 Pro (GE社製)の2台が稼動しており、通常は予約検査で行っておりますが、当日や緊急検査にも対応しています。肺がんを早期発見する為の肺検診では胸部CT検診学会の基準に則った低線量 (X線)で撮影しています。また、心疾患の診断、肺病変の性状を調べる為の肺生検、メタボリックシンドロームの指標となっている内臓脂肪量測定検査なども行っております。
SOMATOM Definition(SIEMENS社製)
SOMATOM Definition(SIEMENS社製)
Optima CT660 Pro (GE社製)
Optima CT660 Pro (GE社製)
Dual Source (2管球搭載型) CT 「SOMATOM Force」 導入
<心臓CT・Dual Energy imaging検査使用装置>
2管球CTを64スライスから192スライスに更新しました。
●息止め時間短縮(肺:最速約1秒)
●最新の技術で低線量、造影剤減量を実現(当院従来比:線量最大80%減、造影剤量最大50%減)
●エネルギー分別の最適化により、2管球同時スキャンの解析精度が向上。
Dual Energy imagingとは?
SIEMENS社製 2 管球搭載型CT  SOMATOM Force
SIEMENS社製 2 管球搭載型CT  SOMATOM Force
これまでのCT装置(1管球)
これまでのCT装置
(1管球)
SOMATOM Force(2管球)
SOMATOM Force
(2管球)
※画像をクリックすると、CTスキャンイメージが再生されます。
CT検査に戻る


64列マルチスライスCT「Optima CT660Pro」 導入
<肺CT・内臓脂肪測定CT検査使用装置>
少ない線量で高画質の画像診断情報を提供します
●息止め時間短縮(肺:約4秒)
●最新の技術でより低線量を実現(当院従来比:最大50%減)
●精密検査並みの画像取得可能(スライス厚:1.25mm)

GE製マルチスライスCT Optima CT660 Pro(64列CT)

肺CT1.25mm厚画像 画質を低下させずに、より低線量で撮像可能です。


CT検査に戻る


CT検査の流れ
検査前
  • 部位によっては脱衣または更衣をお願いする場合があります。着替えやすい服装でお越しください。
  • 診断の障害となるもの(湿布、ネックレス、入歯等)は外していただくことがあります。
検査中
  • 体の静止と呼吸は、合図の通りにお願いします。
  • 撮影方法により体位(姿勢、体の向き)を調整するため体に触れる場合があります。痛みのある場合は事前にお知らせください。
検査後
  • 造影剤を使用しなかった場合:特に注意していただくことはありませんが、他の検査がある場合の注意点(飲食、排尿等)をご確認ください。
  • 造影剤を使用した場合:検査終了後、造影剤の排泄を促すため、水などでいつもより多めに水分を摂るようお願いします。造影剤のほとんどは尿から排泄されます。
CT検査に戻る


●参考画像集
・断層(輪切り)像
腹部
腹部
腹部
胸部
胸部
胸部
頭部
頭部
頭部
・3D(三次元立体)画像
冠動脈(心臓)
冠動脈(心臓)
大動脈
大動脈
下肢動脈
下肢動脈
手術支援画像
手術支援画像
手術支援画像
大腸CT(CTC)
大腸CT(CTC)
大腸CT(CTC)
CT検査に戻る


大腸CT(仮想大腸内視鏡)導入
内視鏡を使用せず、検査前に肛門から炭酸ガスを注入し大腸を膨らませた状態でCT撮影(仰向けとうつ伏せ)を行う新しい検査です。得られた画像にコンピューター処理を加え、仮想大腸内視鏡検査として診断を行います。大腸内視鏡検査に比べ比較的、前処置(検査前に大腸内をキレイにする)や検査中の苦痛が少なく、身体に優しい検査です。

大腸CT画像(正常部位) 大腸内視鏡画像(正常部位)
大腸CT画像(正常部位) 大腸内視鏡画像(正常部位)
大腸CT画像(病変部位)  大腸内視鏡画像(病変部位)
大腸CT画像(病変部位)  大腸内視鏡画像(病変部位)

[大腸CT検査は以下の方々に適しています]
① ご高齢などが理由でお身体への負担が少ない方がよい方。
② 大腸に狭窄部位があり内視鏡検査が困難な方。
③ 大腸内視鏡検査が苦手な方。

[大腸CTと大腸内視鏡の特徴比較]

検査をご希望される場合はお気軽にお問い合わせください。
透析中の方や高マグネシウム血症の方など、一部検査を受けられないケースもございます。
詳しくは放射線診断科にお問い合わせください。


CT検査に戻る


●Dual Energy Imagingとは?

Dualとは「2つ」、Sourceとは「源」、ここではX線管のことをいいます。2つのX線管を用いたCT装置という意味でDual Source CTと呼ばれます。

Dual Energy Imagingとは物質の減弱がX線の平均エネルギーによって異なることを利用した画像化の手法であり、2つのエネルギーにより取得されるデータを用いた画像解析法です。
異なる2つのX線エネルギーに依存して、それぞれの物質,例えば骨,造影剤,脂肪,軟部組織などは組成に依存した異なるコントラスト差を生じるため、それぞれを適切に分離した画像化が可能となります。

2つのX線管を高エネルギーと低エネルギーに設定し、X線管のエネルギーに対して最適なX線出力に調整する事で、Dual Energy解析を高精度に行うことが出来ます。
実際に当院では、尿路結石の性状解析、肺血流を表す肺潅流解析に用いられています。
大腸CT(CTC)
Dual Energy Imagingのイメージ図
CT検査に戻る
このページの先頭に戻る


核医学検査
核医学検査とは、ごく微量の放射線を放出するアイソトープ検査薬(放射性医薬品)を体内投与し、その分布や集積状態を調べる検査であります。投与されたアイソトープ検査薬は、それぞれの特性により、脳、心臓、肺臓、腎臓、骨など特定の臓器や、腫瘍に集積して放射線(主にガンマ線)を放出します。これらのガンマ線の分布状態を画像化する為の装置は『ガンマカメラ』、得られた画像は『シンチグラム』と呼ばれています。検査目的によっては、一度に全身の撮影をしたり、特定の臓器の断層画像(脳、心臓など)を作成することによって各々の臓器の形態や機能を知ることができます。代表的な検査として、心筋血流シンチでは狭心症による虚血診断、また脳血流シンチでは認知症の早期診断が可能となります。当院の核医学検査装置はPrecedence 16(PHILIPS社製)及びFORTE(ADAC社製)、VERTEX-Plus EPIC(ADAC社製)が稼動しており、臨床診断上で精度の高い重要な情報を提供しております。 Precedence16 (PHILIPS社製)
FORTE (ADAC社製)
VERTEX Plus (ADAC社製)
診断用16列マルチスライスCTと
デジタルガンマカメラの一体型複合機「Precedence16」の導入

PHILIPS社製のPrecedence16 SPECT/CTの特徴はフルデジタルガンマカメラと高速の16列マルチスライスCT*1が一体化した"ハイブリッド装置"であることです。
診断用CTとSPECT*2を同一寝台上で行うことにより形態画像(CT画像)と機能画像(SPECT画像)の融合(重ね合せ)が可能となり、診断性能が向上します。さらにCT画像を用いた減弱(吸収)補正などを活用したAstonish 3D画像再構成*3により病変を鮮やかに描出し、疾患の程度の判定も向上します。心臓分野においては機能的心筋血流画像とCTによる減弱補正により従来の診断で判定が困難であった下壁の評価精度が向上し、更に冠状動脈のカルシウムスコアー等の算出が可能となっています。
腫瘍分野においては、特に形態画像と機能画像の融合、フュージョン画像の作成により腫瘍の位置と範囲が精度よく同定できるようになりました。

*1 X線照射調整により体格にあわせて被曝線量を最大50%低減、高速回転撮影が可能(0.4秒/回転、通常0.5秒/回転)精密検査用スライス厚(1mm)可能です。
*2 SPECTとはアイソトープ検査におけるの断層画像のことです。
*3 Astonish 3D画像再構成とはPHILIPS社が独自の開発した新しい手法で、画像がボヤけるいくつかの原因を改善しています(現在この機器は原則院内患者様用として運用しています)

参考画像
脳血流シンチによって得られる画像
脳血流シンチによって得られる画像
心筋血流シンチによって得られる画像
心筋血流シンチによって得られる画像


このページの先頭に戻る


X線TV検査
X線TV検査とは、X線を照射してその透視画像を確認しながら目的部位の撮影を行う検査です。 放射線診断科では、主に造影剤(バリウム等)を使用して胃透視や注腸検査の診断が行われています。 また、X線透視下で体内にチューブやステントを留置する多数の外科的治療も施行されています。 整形外科においては、X線透視下で骨折部位の整復や造影剤を用いた脊髄腔造影などが施行されており、 さまざまな分野で威力を発揮しています。
1

「装置の概要」
平成20年9月より島津製作所製 SONIALVISION Safire Series 【ソニアルビジョンサファイア シリーズ】が導入されました。 最新鋭の17インチ直接変換方式FPDを搭載したフルデジタルシステムです。 17インチ×17インチ直接変換方式FPDにより高画質で歪みがなく、広視野により腹部全体観察が可能です。 高分解能な動画像の撮影を可能にし、高速・高精細デジタル画像をそのまま処理・保管されています。 IVRによる治療が増加する一方で、FPDの高画質性能と被ばくの低減機構がバランス良く実現されています。
2

トモシンセシス(デジタルマルチスライス断層)について
『トモシンセシス』による断層撮影は、1回の断層走査で任意の断層像が得られるデジタル多断層機能です。検査時間の短縮、患者の体位維持時間、被ばくの低減(CTの5分の1程度)につながります。
また、直接変換方式FPDが搭載されているので、CT、MRIで障害となる金属によるアーチファクトを大幅に軽減することが可能です。
3

スロットラジオグラフィー(長尺撮影)について
『スロットスキャン』による長尺撮影は、移動しながらほぼ垂直なX線を照射するので歪みが少なく、つなぎ目をなくしたスムーズな全脊椎や全下肢の画像を得ることが可能です。
FPDを搭載しているので従来の全脊椎、全下肢の撮影に比べ、2分の1~10分の1の低線量で撮影することが可能です。
透視台を動かすことで全脊椎、全下肢、全上肢の撮影において、立位・臥位で容易に撮影することが可能です。
4


このページの先頭に戻る


マンモグラフィ
マンモグラフィは乳房の触診検査で、しこりとして触れず超音波検査でも描出されにくい、微細な石灰化を伴う早期の乳がんを発見することに優れています。
この検査では圧迫板と呼ばれる透明な板を備えた乳房専用のX線装置を使用します。乳房をよく引き伸ばしながら圧迫板で挟んで、厚みを薄くしてから撮影することで、乳腺の中に隠れた病変が見つかりやすくなります。また圧迫にはX線被ばくの量を減らす効果もあります。なお、この操作の際、乳房に痛みを伴うことがありますが、1回の撮影に要する圧迫時間は10秒程度です。
当院では2012年7月に富士フィルムメディカル社製AMULET f を導入しました。この装置は直接変換型FPD(フラットパネルディテクタ)と新たな画像処理技術を搭載しており、これまで以上に高精細で低ノイズな画像を安定して医師に提供することが可能となりました。

MAMULET f

AMULET f


マンモグラフィ

マンモグラフィ検診施設画像認定を取得
当院は2007年8月よりマンモグラフィ検診精度管理中央委員会の定める検診精度管理の線量・画質基準を満たすマンモグラフィ検診施設として認定されています。
検診マンモグラフィ撮影認定を有する診療放射線技師が撮影を担当し、診断価値の高い画像を提供すると共に日々の精度管理に努めています。また撮影された画像は検診マンモグラフィ読影認定を有する医師によるダブルチェックにて正確な診断がなされています。

マンモグラフィ検診施設画像認定


このページの先頭に戻る


MRI検査(磁気共鳴画像magnetic resonance imaging)

当院には静磁場強度が1.5テスラ(T)のGE社製signa EXCITE HD-X (2014年9月Ver.23)と3.0テスラ(T)のSIEMENS社製MAGNETOM skyra3.0T(2015年1月導入)の超電導型MRI装置が稼働しています。
全身のあらゆる領域で広く利用され、より精度の高い検査を行っています。MRI装置2台で1日40件程度の検査を実施しています。

MRIとは?

Magnetic Resonance Imaging:磁気共鳴画像診断検査の略称です。簡単な原理を紹介します。強力な磁場の中に置かれた人体に特別な周波数のラジオ波(RF波)を照射すると、体内の水素原子核はこのRF波の影響で一斉に決まった方向に回転振動を始めます。次にラジオ波の照射を止めると水素原子核は、本来の回転方向へ戻ろうとするときに微弱なMR信号を出すのです。この得られたMR信号は、受信機を通してコンピューターへ入力されフーリエ変換を行います。その際に生じた組織間の信号強度の違いを画像再構成して、濃淡の異なる白黒画像を表示しているのです。

MRIの特徴と利点について

放射線による被曝がないため繰り返し検査を受けることが可能です。さらに、体のあらゆる方向の断面像が自由に得られ、組織間のコントラストが高いため病変の検出にも優れています。特に急性期の脳梗塞の鑑別診断に有効に用いられており、X線検査では描出できない脳・脊髄・神経・筋肉・腱・椎間板・血管等を強調して描出することが可能です。また、造影剤を使用せずに生体内の様々な液体を選択的に画像化することも出来ます。これらは、MRハイドログラフィ(MR hydrography )と呼ばれ、唾液腺( MR sialography )、胆管内の胆汁と膵管内の膵液(MRCP MR cholangiopancreatography)、腎盂・尿管・膀胱(MR urography)を描出することができます。なかでも頭頚部や腹部、両下肢の血管血流画像(MRA)が得られることも特徴です。脊椎系、四肢関節、骨盤部の子宮、卵巣、前立腺など、色々な病気の早期発見、診断に有効です。近年では医療現場のみならず、スポーツ医学や分析の分野でも最先端画像装置として研究が進んでおり、ますます活躍の場が広がっています。

MRIの注意点について

強力な磁石をしているためMRI非対応の金属製品を検査室内へ持ち込むことは出来ません。したがいまして、MRI非対応の金属(心臓ペースメーカー、埋め込み式除細動器等の生体維持装置、脳動脈瘤クリップ、材質不明の人工関節等)が体内にある埋め込まれている方は受診する事が出来ない場合があります。検査中に体内に設置された導電性物質の発熱により熱感を感じたり、刺青やアートメイクは色素が変色する恐れがあり、また最悪の場合、熱傷にいたる報告もあります。妊婦初期や妊娠の可能性のある方や閉所恐怖症、安静が維持できない方は受診出来ない場合があります。MRI装置の特徴でもありますが、内蔵された強力な磁石の一種である傾斜磁場コイルの振動により非常に大きな音が鳴ります。検査中は仰向けの状態または、乳房検査の場合はうつ伏せの体位で動くことができませんので注意が必要です。

検査所要時間

頭部・頚部 15~30分
腹部 20~40分
骨盤部 20~40分
脊椎 15~30分
乳腺 40分
四肢 20分
心臓 45分

MRI検査の注意事項

MRI検査を受診出来ない場合があります!下記の場合には必ず担当スタッフへお申し出下さい!

  • 心臓ペースメーカー・体内自動除細動器・骨成長刺激装置・体内神経刺激装置・人工内耳・注入ポンプなどの電気および機械的に作動する体内埋め込み機器のある方
  • 安全確認が不明な血管クリップ(頭蓋内動脈瘤クリップ等)がある方
  • 体内に磁性体金属がある方、材質不明金属がある方(体内に金属片や鉄粉や弾丸など)
  • 体外金属が外れない方(ピアス、指輪など)
  • 刺青のある方、アートメイクをしている方
  • 妊娠の可能性のある方、妊娠中の方、授乳中の方
  • 血管へのステント留置術を8週間以内に受けられた方
  • 古い人工心臓弁の手術を受けられている方
  • 眼に微細な金属片が入っている方(または入っている可能性のある方)
  • 金属製の義眼底の方
  • 高度の閉所恐怖症のある方
  • 安静が保持できない方
  • ※ 頭頚部、特に眼窩周辺の検査の場合、お化粧(アイライン、マスカラ、付けまつ毛)を落としていただくことがあります。
  • ※ カラーコンタクトレンズは、発色材として金属が使われている場合があり、大変危険ですので取り外していただきます

<SIEMENS社製MAGNETOM skyra3.0テスラ(T)MRIのご紹介>

3.0テスラの強い磁場で検査することにより、より強い信号が得られるため情報量が多く、より高分解能(高画質)な画像、より短時間撮影が可能となりました。

第4世代Timテクノロジー(Tim4G)搭載
MAGNETOM Skyraは、最も進化した世代のコイルテクノロジー:Tim4Gを搭載しています。それにより、広範囲をカバーするひとつの高密度コイルとして、局所を対象にした超高分解能撮像や、全身に点在する腫瘍のスクリーニング、病因を特定するための全身検査が可能です。

多彩な専用コイルで高画質
頭部や脊椎、乳房専用コイル、肩関節専用、膝関節専用、手指関節専用など撮像部位に応じた多彩なコイルを用意しています。

[造影両乳房撮像例]
[肩関節撮像例]
[膝関節撮像例]
[腰椎・腰髄撮像例]

局所励起撮像技術“syngo ZOOMit”
syngo ZOOMitは、パラレル送信技術“TimTX TrueShape”によって局所の画像化を可能にするもので、関心領域を絞った撮像を短時間で高分解能に行うことが可能です。

静音技術「Quiet Suite」搭載
新しいノイズリダクション機構“Quiet Suite”は、高画質を担保しながら、従来より70%以上のノイズリダクションを実現しました。ノイズを抑えることにより静かな検査が可能になり、より患者様の心理的負担を軽減し、やさしい検査を実現します。検査中は、MRIからの騒音から聴覚器官への刺激を軽減するためヘッドフォン を装着し、音楽を聴きながらリラックスした状態で検査を受けて頂くことが可能です。

進化した体動補整技術と息止め不要の3D腹部撮像が可能な「FREEZEit」
腹部系の3D撮像では、高い空間分解能を維持したまま、体動によるアーチファクトを大幅に軽減し、息止め不要の3D腹部撮像が可能になりました。ラジアルサンプリングの採用で通常呼吸下での造影3D撮像を可能にする“syngo StarVIBE”を搭載しています。

3T MRI で最短の173cmショートデザインガントリ&70cmオープンボアデザイン&着脱と移動が可能なドッカブルテーブルを採用
撮影装置の開口径は70cmとなり、従来の製品と比べて明るく、清潔感のある快適な検査環境を実現しています。圧迫感が軽減され、狭い場所が苦手な患者様にも対応が可能です。
着脱と移動が可能なドッカブルテーブルによって、重傷や高度の肥満、脊柱後弯などで検査台への移動が困難な特殊ニーズを抱える患者様への対応、アクセス性の確保など、MRI 検査の可能性を大きく拡げます。

◆高分解能(高画質)な画像 Head MRA, SWI 局所励起
[頭部撮像症例]
造影剤を使用せずに生体内の様々な液体を選択的に画像化
[下肢アンギオ撮像症例]
[胆嚢・膵臓撮像症例]
◆進化した腹部系の造影3D撮像と体動補正を利用した撮像例
[肝臓造影撮像例]
[前立腺撮像例]

<1.5テスラ(T)のGE社製signa EXCITE HD-X(Ver.23)のご紹介>

当院では2014年9月より1.5T装置のSigna EXCITE HD-XをVer.23へグレードアップを致しました。
このVer.23による特徴は、動きや呼吸に伴うアーチファクトの制御です。かつてない高精細なイメージングで、幅広い検査部位への対応、3D Delta Flow 非造影MRAパッケージによる血管撮影時のタイミングのズレの排除、スキャン時間の低減等、新しい脂肪抑制法 “IDEAL-FLEX”など最新アプリケーションを装備しています。

MRIの新たな有用性を引き出す ~3次元Volumeアプリケーション~ と ~体動補正技術~ “3D ASL”
頭部領域における非造影パフュージョンで、3D法により全脳を高いSNRでデータ収集を行うことが出来ます。

“3D Delta Flow 非造影MRAパッケージ”
Inhance 3D Deltaflowによって下肢のMRAを短時間で撮像することが可能になりました。頭部領域や下肢領域だけでなく、腹部領域(主に腎動脈)の血管撮像も、造影剤を用いずに撮像することも可能です。

“IDEAL” &“ FLEX”
従来脂肪抑制が困難な領域、部位においても均一な脂肪抑制画像を提供します。
頸部や金属固定金具などの脂肪抑制が困難な場合でも、“IDEAL”「3ポイントDixon法でより正確に」磁場抑制むらのない、均一な脂肪抑制画像を得ることができます。LAVAとの組み合わせによる“LAVA-FLEX”「2ポイントDixon法」でより高速にダイナミック撮像、息止め撮像で使用可能です。

“CUBE”
T2強調像やプロトン強調画像、FLAIRをアイソトロピックな3Dデータが得られます。特に、FLAIRと組み合わせたCube-FLAIR法は、無症候性脳梗塞診断の新たな撮像法として有用です。

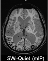
“SWAN”(T2 Star Weighted MR angiography)
SWANは、3D高速グラディエントエコー法にマルチエコーの収集を組み合わせたパルスシーケンスです。ヘモジデリンの沈着による磁場の乱れを画像化するアプケーションで、主に頭部領域における微小出血の検出などに有効な撮像法です。

“PROPELLER”
PROPELLERは, K空間中心をRadial様に充填し、積算効果を利用したFSE (fast spin echo)法と言えます。頭部の動きの補正だけでなく、全身の体動補正が可能です。

造影剤について

- 造影剤の種類 -

◆ガドリニウム造影剤と肝臓用造影剤(EOB・プリモビスト)
病気の種類や検査目的に応じてMRI専用のガドリニウム造影剤や肝臓用MRI造影剤EOB・プリモビストを使用します。造影剤を用いることで血管の状態をより鮮明に描出することが可能です。
また、病変の異常信号を検出し、血流動態を捉えることで病変の質的診断精度の向上に繋がります。

◆MRI用経口消化管造影剤(ボースデル内用液10)
胆道および膵管の撮影を目的MRCP(磁気共鳴胆道膵管撮影)とした “飲む陰性造影剤”です。
胃や十二指腸内に貯留した水分の信号を抑制して、胆道・膵管の信号を強調して明瞭に描出することが期待できます。

造影剤の注意事項

※以下の方は造影剤を使用できないことがありますので,事前に医師にお申し出下さい。

  • 今までに造影剤を使用して気分が悪くなったり,じんましんが出たりしたことがある方
  • 喘息(ぜんそく)がある方,喘息にかかったことがある方
  • アレルギー体質の方
  • 重度の肝臓疾患,腎臓疾患のある方
  • 1)検査当日になって体調変化などで造影検査を受けたくない場合、MRI検査室のスタッフに御相談下さい。
  • 2)疾患の種類により造影剤を使用しないと正しい診断が出来ない場合がりあります。
  • 3)造影剤使用時は十分注意しながら施行しています。また、迅速な処置がとれるように整備しています。
  • 4)検査終了後は、安静などの必要はなく、食事制限や入浴制限などはありません。普段通りの生活で問題ありません。
  • 5)造影剤は、尿や便と一緒に排出されます。排泄を促進するため、水分を多めにとって下さい。
  • 6)授乳中の場合方は、約48時間経過するまで授乳を控えて下さい。
  • 7)基本的には安全な薬剤とされていますが、まれにアレルギー反応による悪心や発疹、痒みを生じる場合があります。重症な場合、呼吸困難、血圧低下、意識障害、痙攣発作など様々な副作用が生じる場合があります。
  • 8)検査終了後や帰宅後にこのような症状がでる場合もあります。速やかに最寄りの医療機関を受診して下さい。


このページの先頭に戻る


一般撮影部門
「はじめに」
医療技術の進歩と共に画像診断機器の技術革新は目覚ましく、臨床において画像診断の果たす役割は著しく拡大しています。なかでもX線撮影は古くから医療に用いられており、様々な病気の初期診断において欠かすことのできない重要な検査の一つです。定期健康診断において行われる胸部X線撮影が最も代表的で、頭部、腹部,骨盤,四肢など全身のあらゆる骨や関節の様々なX線撮影を行っています。

「X線写真とは」
X線写真ができる過程を簡単に説明します。人体を構成する物質を大まかに分類すると骨・筋肉・脂肪・空気で構成されています。X線装置から照射されたX線が体内を透過する過程で骨・筋肉・脂肪など、様々な密度の異なる組織により減弱されるため、そのX線減弱の違いを白黒の濃淡で画像化したものを一般的にX線写真と言います。

画像参考例

「一般撮影機器の紹介」
放射線診断科(B1)の一般撮影機器は、2012年9月に全面的に更新されました。超高画質を実現するFPD(フラットパネルディテクタ)とオートポジショニング機能を搭載した最新鋭の一般撮影システムは、患者様に安心して受診していただけるような安全設計と低被ばく化、更には検査の高効率化と省力化に優れています。




「機器の主な特徴」
一般撮影室および乳房撮影室を含めた全撮影室が一新されました。一般撮影装置の特徴であるFPDでは、X線が直接電荷信号に変換されるため信号の劣化がなく、非常に高解像度で鮮明なフルデジタル画像が即時表示されます。また、このシステムはオートポジショニング機能が搭載されており、住友病院独自の撮影プログラムにセッティングされた一管球システムです。その他に、無用な被ばく線量を低減させる機構として、撮影部位に応じてコリメータのフィルターが連動して切り替わり最適な線量に自動設定されます。皮膚表面線量の算出可能な線量計(Exposure index機能)が搭載されているため、瞬時にX線撮影線量が表示され確認することができます。これらの機能は、検査時間の短縮と必要最低限のX線量で撮影することに繋がり、患者様と医療スタッフにとってなくてはならない機能です。良好な操作性および即時画像表示による信頼性、他のモダリティーや院内外を繋ぐネットワーク対応できる親和性の高い装置によって、一般撮影部門で発生する全ての画像は、高精細モニタで観察、検像作業を行ったうえで各診療部門へ画像提供を行っています。

「患者様へのお願い」
  • ○放射線診断科受付にお越しの際に、患者誤認を防ぐために必ずお名前の確認をさせて頂きますのでご協力を宜しくお願いします。
  • ○受付した順番にお名前をお呼びしますが、急患や撮影部位により多少前後する場合がありますのでご了承下さい。
  • ○検査時に診断の妨げになるようなボタン・金具・ブラジャー・プリント柄の衣服・アクセサリー・湿布・カイロ・エレキバンなど外して頂き、必要に応じて専用の検査着に更衣して頂くことがあります。
  • ○貴重品は必ず自己管理でお願いします。
  • ○その他にご不明な点があれば担当スタッフへお気軽にご相談下さい。

~ 女性の患者さまへ ~
妊娠されている方(または、その可能性のある)は、必ず検査前に担当医師または担当技師にご相談ください。検査目的によってはX線撮影が必要な場合もあります。臨床的な検査の必要性等を考慮して総合的に判断することになります。


このページの先頭に戻る


結石破砕装置
結石破砕装置 現在、腎尿管結石のほぼすべての治療は衝撃波による破砕により行われています。結石破砕装置も当初は浴槽につかって破砕するウエットタイプ゚でしたが、いまでは治療テーブルに寝た状態で破砕するドライタイプが主流です。また、衝撃波の発生装置も原理の異なるものが登場し、種々の破砕装置が使用されています。ところがこれらの機種の中には、麻酔が必要であったり、破砕力が弱いために治療回数が多くなったり、レントゲンに写らない結石は治療できないものもあります。よい結石破砕装置の条件として、無麻酔で治療ができ、治療中の痛みが少なく、かつ強力な破砕力を有し、さらに腎、尿管のすべての部位や成分の結石にも対応できる等があげられます。当院の破砕装置は、電磁変換方式という衝撃波の発生装置で強力な破砕力を有しています。しかし、体の表面との接触面積が広いため衝撃波が分散され、治療時の痛みも軽度でこれまで麻酔を要した事はありません。また、あおむけあるいはうつぶせで破砕しますので、どの場所の結石も楽な姿勢で治療を受ける事が出来ます。 いま住友病院では年間500回以上の結石破砕治療を行っていますが、そのうち9割以上の治療を入院ではなく外来通院で行っています。
文字サイズ
小
中
大
 
住友病院
〒530-0005大阪市北区中之島5丁目3番20号
Tel: 06-6443-1261(大代表)
 
Copyright (C) Sumitomo Hospital, All Rights Reserved.